Frattura di goyrand

» » Frattura di goyrand

Your Frattura di goyrand images are available in this site. Frattura di goyrand are a topic that is being searched for and liked by netizens now. You can Find and Download the Frattura di goyrand files here. Get all free photos.

If you’re looking for frattura di goyrand images information related to the frattura di goyrand topic, you have visit the ideal site. Our site frequently gives you suggestions for seeing the maximum quality video and image content, please kindly search and find more enlightening video articles and images that fit your interests.

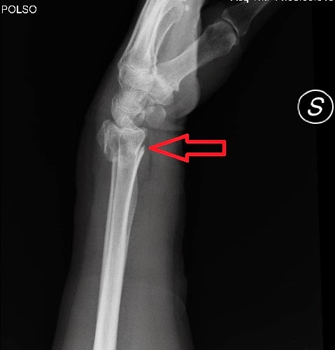
Frattura Di Goyrand. Frattura di goyrand polso sx. Contenzione in gesso brachio-metacarpale BM della frattura di polso sx. Dorso della mano invece che sul palmo della mano e il frammento radiale distale si disloca ventralmente invece che dorsalmente. È invece identica la sede e il decorso della rima di frattura.

Le Fratture Di Polso Il Radio Distale Le Fratture Di Polso Il Radio Distale From ortopediaborgotaro.it

Machine gun kelly tiktok Marc kalman art Machine gun kelly tapestry Major landforms in indiana

La frattura di polso e una delle piu frequenti patologie da trauma che richiede una immobilizzazione immediata una riduzione incruenta oppure un vero intervento chirurgico con placcafili di kirschner o fissatore esterno. Seguivano ulteriori controlli clinici specialistici di cui appare disponibile la seguente documentazione. Manovra progressiva senza strappi attenzione alla cute dei pz. Una delle più comuni fratture è la frattura detta di Colles in cui il frammento rotto si porta verso lalto. La Frattura di Goyrand-Smith GSF detta anche solamente Smith Fracture fa parte delle Fratture distali del RadioPer la prima volta è stata descritta da Robert Williams Smith nel 1847 1. La frattura di Goyrand o di Colles inversa come suggerisce il nome presenta i segni clinici inversi a quella di Colles classica.

Seguivano ulteriori controlli clinici specialistici di cui appare disponibile la seguente documentazione.

Una frattura da fabbro è nota con pochi altri nomi come una frattura di Goyrand e una frattura di Colles inversa. Sede e decorso della rima di frattura sono identiche ma in questo caso il frammento osseo distale si palmarizza spostamento verso il palmo della mano. Chiama subito per fissare un appuntamento in uno dei nostri centri di Fisioterapia Italia la valutazione è GRATUITA. La frattura di Goyrand-Smith è una frattura extra- articolare del radio con una dislocazione o angolazione volare della rima di frattura distale. Tipica frattura delle cadute sul palmo della mano in estensione. Manovra progressiva senza strappi attenzione alla cute dei pz.

La Frattura Di Colles Articolo Del Dott Roberto Urso Source: medicalive.it

La frattura di polso e una delle piu frequenti patologie da trauma che richiede una immobilizzazione immediata una riduzione incruenta oppure un vero intervento chirurgico con placcafili di kirschner o fissatore esterno. Frattura di Goyrand. Il raggio è losso più comunemente rotto del braccio. Successivamente andai a fare i raggi e il medico mi. 17101 Divisione di Ortopedia-Traumatologia X.

Frattura Di Goyrand Smith Guida Riabilitativa Fisioscience Source: fisioscience.it

Contenzione in gesso brachio-metacarpale BM della frattura di polso sx. Tipico delle cadute con il palmo della mano flesso. Solitamente viene trattato mediante. Dorso della mano invece che sul palmo della mano e il frammento radiale distale si disloca ventralmente invece che dorsalmente. È invece identica la sede e il decorso della rima di frattura.

La Frattura Al Polso Sciaremag Source: sciaremag.it

I sintomi di un polso rotto possono includere. Ma le fratture di Smith sono in realtà piuttosto rare. I casi in cui la frattura di Radio coinvolga solo la Stiloide Radiale fig. Si verifica per la. La frattura di Goyrand-Smith è una frattura del radio distale anche detta frattura di Colles inversa in quanto la dislocazione del frammento epifisario nel piano sagittale avviene in senso inverso.

La Frattura Al Polso Sciaremag Source: sciaremag.it

Sono più spesso visti nei giovani maschi o. Lussazione di gomito frattura di goyrand arto inferiore iperpressione rotulea frattura piatto tibiale distorsione ginocchio distorsione caviglia taping cavigliametodo contenitivo distorsioni con cerotti tendinite achillea tendinite dellalluce tendinite della rotula. 17101 Divisione di Ortopedia-Traumatologia X. Questa frattura fu descritta da Abraham Colles nel 1814 un chirurgo irlandese da qui il nome frattura di Colles. La frattura di Goyrand-Smith è una frattura extra- articolare del radio con una dislocazione o angolazione volare della rima di frattura distale.

Frattura Polso Radio Ulna Frattura Di Colles Frattura Di Goyrand Dott G F Parisi Calabria Cosenza Catanzaro Reggio Calabria Crotone Vibo Valentia Source: chirurgia-della-mano-calabria.it

Manovra progressiva senza strappi attenzione alla cute dei pz. La gestione di questi casi non trova in letteratura una uniformità di trattamento anche se dal punto di vista chirurgico da quando si co-. È molto più rara della frattura di Colles. Tipica frattura delle cadute sul palmo della mano in estensione. Successivamente andai a fare i raggi e il medico mi.

Frattura Polso Radio Ulna Frattura Di Colles Frattura Di Goyrand Dott G F Parisi Calabria Cosenza Catanzaro Reggio Calabria Crotone Vibo Valentia Source: chirurgia-della-mano-calabria.it

Si presenta dopo una caduta accidentale con la mano atteggiata in flessione. La frattura interessa il radio nella parte distale vicina allarticolazione radio carpica ed è di solito extrarticolare non arriva allarticolazione. 17101 Divisione di Ortopedia-Traumatologia X. Questa frattura fu descritta da Abraham Colles nel 1814 un chirurgo irlandese da qui il nome frattura di Colles. La frattura di polso per lungo tempo è.

Frattura Di Colles Che Cos E E Come Curarla Ryakos Center Source: ryakos.it

Manovra progressiva senza strappi attenzione alla cute dei pz. Fratture del polso come diagnosticarle. Goyrand con estensione al punto 2. Sede e decorso della rima di frattura sono identiche ma in questo caso il frammento osseo distale si palmarizza spostamento verso il palmo della mano. Quando il trauma avviene con meccanismo contrario si parla di frattura di Goyrand caratterizzata dalla scomposizione volare della frattura.

Lussazioni Del Carpo Alessandra Briatico Vangosa Valentina Panara Ppt Video Online Scaricare Source: slideplayer.it

Contenzione in gesso brachio-metacarpale BM della frattura di polso sx. È molto più rara della frattura di Colles. Alla prono-supinazione dellavambraccio che deve risultare sempre intermedia. Manovra progressiva senza strappi attenzione alla cute dei pz. Quando il trauma avviene con meccanismo contrario si parla di frattura di Goyrand caratterizzata dalla scomposizione volare della frattura.

Frattura Di Goyrand Source: tapibend.altervista.org

La frattura di Goyrand-Smith è una frattura del radio distale anche detta frattura di Colles inversa in quanto la dislocazione del frammento epifisario nel piano sagittale avviene in senso inverso. Frattura di goyrand polso sx. Si presenta dopo una caduta accidentale con la mano atteggiata in flessione. è chiamata anche frattura di Colles Inversa in quanto la dislocazione del frammento di frattura della metafisi distale del radio avviene in senso opposto. La frattura di polso per lungo tempo è.

Le Fratture Di Polso Il Radio Distale Source: ortopediaborgotaro.it

Ma le fratture di Smith sono in realtà piuttosto rare. Seguivano ulteriori controlli clinici specialistici di cui appare disponibile la seguente documentazione. Solitamente viene trattato mediante. Sede e decorso della rima di frattura sono identiche ma in questo caso il frammento osseo distale si palmarizza spostamento verso il palmo della mano. Il P era dimesso nella stessa data con aggiornata diagnosi di frattura Goyrand sx.

Ppt Fratture Di Polso Powerpoint Presentation Free Download Id 869271 Source: slideserve.com

Il medico allospedale mi effettuo una riduzione manuale della frattura e mi disse che se non sarebbe riuscita avrei dovuto operarmi. Nella frattura dello scafoide può in alcuni casi essere opportuno ripetere la radiografia dopo 8-10 giorni al fine di rilevare. Frattura di Goyrand o Colles inversa dove la mano sarà in un piano più basso rispetto al radio. Quando il trauma avviene con meccanismo contrario si parla di frattura di Goyrand caratterizzata dalla scomposizione volare della frattura. Le fratture possono essere composte senza dislocazione dei frammenti ossei scomposte con dislocazione dei frammenti ossei semplici o complesse.

La Frattura Di Colles Articolo Del Dott Roberto Urso Source: medicalive.it

Chiama subito per fissare un appuntamento in uno dei nostri centri di Fisioterapia Italia la valutazione è GRATUITA. Contenzione in gesso brachio-metacarpale BM della frattura di polso sx. Il 16 Novembre 2011 in seguito ad una caduta mi è stato diagnosticata una frattura di goyrand al polso sinistro. La frattura di polso per lungo tempo è. Si presenta dopo una caduta accidentale con la mano atteggiata in flessione.

Frattura Polso Radio Ulna Frattura Di Colles Frattura Di Goyrand Dott G F Parisi Calabria Cosenza Catanzaro Reggio Calabria Crotone Vibo Valentia Source: chirurgia-della-mano-calabria.it

La frattura con le deformità opposte si definisce di Goyrand. Frattura di Goyrand-Smith. Si verifica per la. è chiamata anche frattura di Colles Inversa in quanto la dislocazione del frammento di frattura della metafisi distale del radio avviene in senso opposto. FRATTURA DI GOYRAND Più rara della frattura di Colles è detta anche Colles inversa.

A Cosa Serve La Radiologia Al Fisioterapista Source: openfisioterapia.blogspot.com

La frattura interessa il radio nella parte distale vicina allarticolazione radio carpica ed è di solito extrarticolare non arriva allarticolazione. La frattura di Goyrand-Smith è una frattura extra- articolare del radio con una dislocazione o angolazione volare della rima di frattura distale. Goyrand con estensione al punto 2. I casi in cui la frattura di Radio coinvolga solo la Stiloide Radiale fig. Chiama subito per fissare un appuntamento in uno dei nostri centri di Fisioterapia Italia la valutazione è GRATUITA.

Frattura Di Goyrand Source: tapibend.altervista.org

Una frattura da fabbro è nota con pochi altri nomi come una frattura di Goyrand e una frattura di Colles inversa. Tipica frattura delle cadute sul palmo della mano in estensione. Goyrand con estensione al punto 2. Una frattura da fabbro è nota con pochi altri nomi come una frattura di Goyrand e una frattura di Colles inversa. Una delle più comuni fratture è la frattura detta di Colles in cui il frammento rotto si porta verso lalto.

Frattura Di Goyrand Source: tapibend.altervista.org

Quando il trauma avviene con meccanismo contrario si parla di frattura di Goyrand caratterizzata dalla scomposizione volare della frattura. Il raggio è losso più comunemente rotto del braccio. Frattura di goyrand polso sx. Ma le fratture di Smith sono in realtà piuttosto rare. Nellanziano la mancanza di equilibrio e tra le prime cause di caduta e la struttura ossea.

Smith S Fracture Wikidata Source: wikidata.org

Frattura di goyrand polso sx. Frattura di Goyrand. Successivamente andai a fare i raggi e il medico mi. Questa frattura fu descritta da Abraham Colles nel 1814 un chirurgo irlandese da qui il nome frattura di Colles. Gli esami Trattandosi di eventi traumatici è necessaria una radiografia del polso e dello scafoide a seconda della sede dove viene riferito il dolore.

Riabilitazione Frattura Polso Fisioterapia Cura Ed Esercizi Centro Di Fisioterapia Agrigento Damasco Source: fisioterapiadamasco.com

La frattura di Goyrand-Smith è una frattura extra- articolare del radio con una dislocazione o angolazione volare della rima di frattura distale. 3 a b non sono da sottovalutare. Successivamente andai a fare i raggi e il medico mi. I casi in cui la frattura di Radio coinvolga solo la Stiloide Radiale fig. Contenzione in gesso brachio-metacarpale BM della frattura di polso sx.

This site is an open community for users to do sharing their favorite wallpapers on the internet, all images or pictures in this website are for personal wallpaper use only, it is stricly prohibited to use this wallpaper for commercial purposes, if you are the author and find this image is shared without your permission, please kindly raise a DMCA report to Us.

If you find this site serviceableness, please support us by sharing this posts to your favorite social media accounts like Facebook, Instagram and so on or you can also save this blog page with the title frattura di goyrand by using Ctrl + D for devices a laptop with a Windows operating system or Command + D for laptops with an Apple operating system. If you use a smartphone, you can also use the drawer menu of the browser you are using. Whether it’s a Windows, Mac, iOS or Android operating system, you will still be able to bookmark this website.

Category

Related By Category